Ultraschalldiagnostik – präzise Bildgebung ohne Strahlenbelastung
Modernste Ultraschalltechnik für Herz, Bauchorgane, Schilddrüse, Gefäße und Venen.
Ich biete Ihnen hochauflösende Sonografieuntersuchungen des Herzens (TTE), der Bauchorgane, Schilddrüse, Gefäße und Weichteile. Als Fachärztin für Innere Medizin und Kardiologie lege ich besonderen Wert auf exakte Befunde und eine detailierte Befundbesprechung.
Dank unserer modernsten 3D/4D Farbdoppler-Ultraschalltechnik lassen sich nicht nur Strukturen, sondern auch Blutflüsse in Echtzeit beurteilen – etwa zur Detektion von Gefäßverengungen, Klappendefekten oder Thrombosen. Mit dem neuen MicroFlow Imaging können zusätzlich selbst feinste Blutgefäße und langsamste Strömungen sichtbar gemacht werden, was eine noch präzisere Gefäßdiagnostik und Vorsorge ermöglicht.
Bauchultraschall / Abdomensonografie
Diese Oberbauchsonografie erfasst die Organe im Ober- und Unterbauch: Leber, Gallenblase, Nieren, Milz, Bauchspeicheldrüse, Darm und Harnblase.
Wir setzen Farbdoppler und Microflow ein, um auch die Durchblutung und Gefäßversorgung darzustellen – besonders bei Leberläsionen, Raumforderungen oder entzündlichen Veränderungen.
Typische Indikationen:
- Unklare Bauchschmerzen
- Gallensteine, Nierenzysten, Leberveränderungen
- Tumorverdacht, Harnstau, freie Flüssigkeit
- Vorsorge bei Risikofaktoren
Vorbereitung:
Für eine optimale Beurteilung sollten Sie nüchtern zur Untersuchung kommen (6 Stunden nichts essen und trinken).
Bei Notfällen kann die Untersuchung auch ohne Nüchternheit durchgeführt werden.
Carotisdoppler / Ultraschall der Halsgefäße
Besonders empfohlen bei:
- Bluthochdruck, Rauchen, Cholesterinerhöhung
- Durchblutungsstörungen, TIA, Schwindel
- Familiärer Vorbelastung
- Nach OP oder Stentimplantation
Schlaganfall-Vorsorge
Die Carotisdoppler-Untersuchung ist eine der wichtigsten Vorsorgeuntersuchungen zur Schlaganfallprävention.
Gefäßverengungen können Jahre vor einem möglichen Schlaganfall erkannt und behandelt werden.
Schilddrüsensonografie
Geeignet bei:
- Knoten, Struma, Zysten
- Hashimoto-Thyreoiditis
- Kontrolluntersuchungen bei bekannten Veränderungen
- Kombination mit Hormonwerten zur Therapieentscheidung
Verlaufskontrolle
Regelmäßige Kontrollen bei bekannten Schilddrüsenveränderungen sind wichtig zur Früherkennung von Größenveränderungen.
Die Kombination aus Ultraschall und Laborwerten ermöglicht eine optimale Therapiesteuerung.
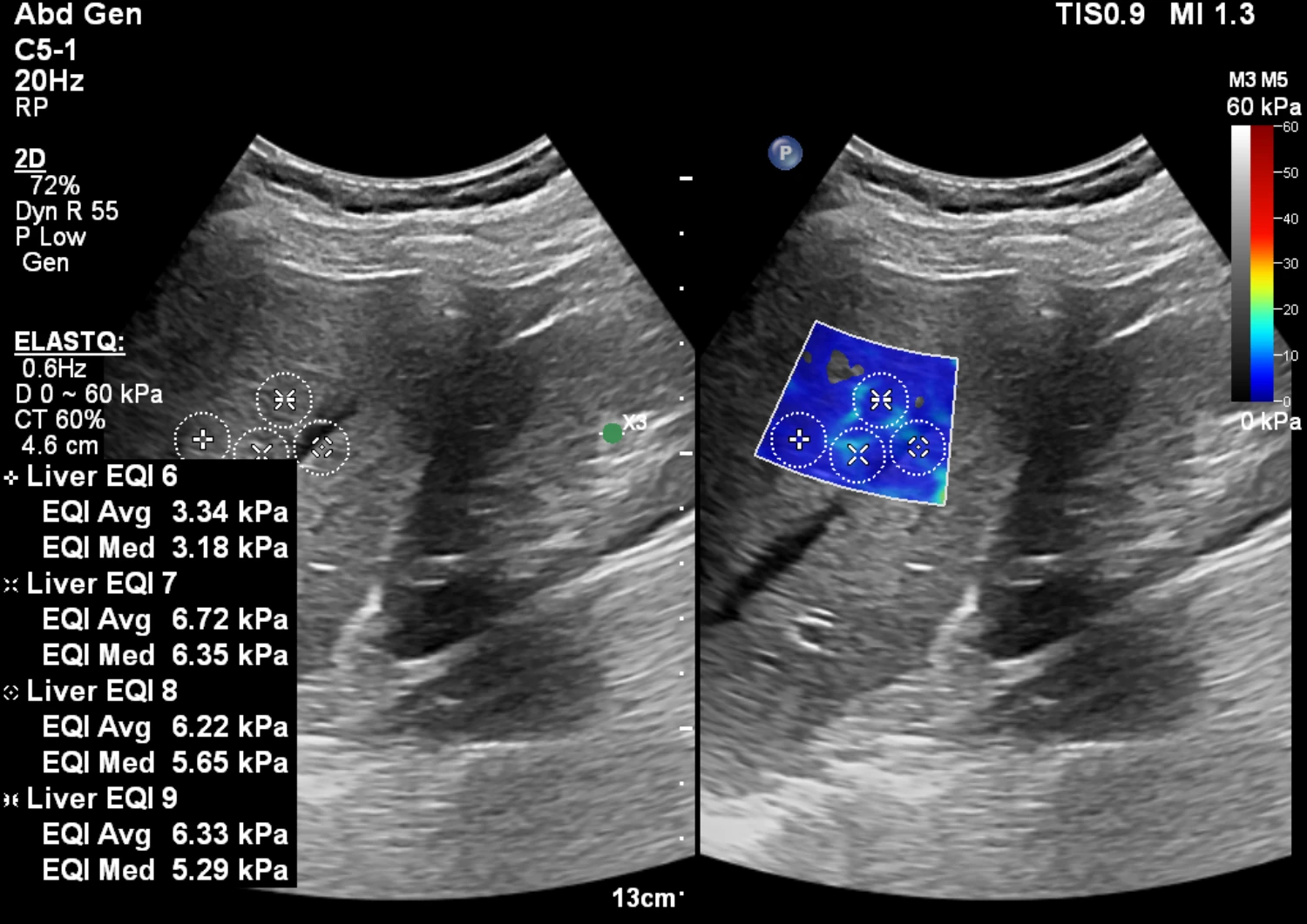
Leber-Elastografie
Mit der Leber-Elastografie messen wir die Gewebesteifigkeit der Leber schnell, schmerzfrei und ohne Strahlenbelastung. Damit lässt sich das Risiko für Leberfibrose und -zirrhose deutlich besser einschätzen als allein mit Blutwerten. In Kombination mit der klassischen Sonografie und Laborparametern ergibt sich ein präzises Gesamtbild – direkt in einer Untersuchung.
Geeignet bei:
- Fettleber (NAFLD/NASH) und metabolischem Syndrom
- Erhöhten Leberwerten (ALT/GPT, AST/GOT, GGT)
- Chronischer Hepatitis (B/C) oder nach durchgemachter Hepatitis
- Alkoholassoziierter Lebererkrankung
- Kontrollen bei bekannter Fibrose/Zirrhose (Verlauf, Therapieeffekt)
- Verlaufskontrolle unter Gewichtsreduktion/Diabetes-Therapie
Messung & Verlaufskontrolle
Die Elastografie ergänzt die Leber-Sonografie um eine objektive Messgröße: die Lebersteifigkeit (typisch in kPa). So werden frühe Fibrose-Stadien besser erkennbar und unnötige invasive Abklärungen können oft vermieden werden.
Wir führen die Untersuchung mit unserem hochmodernen Ultraschallgerät durch – inklusive optimierter Bildgebung und standardisiertem Messprotokoll für verlässliche Verlaufskontrollen.
Vorbereitung auf die Untersuchung: Idealerweise nüchtern (ca. 3–4 Stunden), da Mahlzeiten Messwerte beeinflussen können.
Ultraschall der tiefen Beinvenen (TVT-Ausschluss)
Diese Untersuchung dient dem sicheren Nachweis oder Ausschluss einer Thrombose. Mit Kompressionstechnik und Farbdoppler erkennen wir den Blutfluss und eventuelle Gefäßverschlüsse exakt.
Wir bieten zusätzlich MicroFlow Imaging, eine hochauflösende Technologie, die selbst feinste Blutgefäße und langsamste Strömungen sichtbar macht. Damit lassen sich auch kleinste Veränderungen der Venen- und Arterienversorgung frühzeitig erkennen – ein klarer Vorteil in der Gefäßdiagnostik, Vorsorge und Abklärung von Durchblutungsstörungen.
Unverzichtbar bei:
- Beinschmerzen, Schwellung, Spannungsgefühl
- Thromboseverdacht oder Lungenembolie
- Kontrolle nach längerer Immobilisation oder OP
Sofortdiagnostik
Bei Thromboseverdacht ist eine schnelle Diagnostik entscheidend. Die Untersuchung kann sofort durchgeführt werden.
Das Ergebnis liegt innerhalb weniger Minuten vor und ermöglicht eine sofortige Therapieentscheidung.
Warum bei uns?
Untersuchung und Befund durch erfahrene Fachärztin
Farbdoppler-Sonografie bei jeder Untersuchung Standard
Technik auf Klinikniveau – ohne Wartezeiten oder Spital
Ausführliche Befundbesprechung und detaillierter schriftlicher Befund
Jetzt Termin vereinbaren
Vorbereitung zur Bauchultraschalluntersuchung: nüchtern. Andere Untersuchungen: keine Vorbereitung nötig.
Facharztzentrum Lannach - Hauptstraße 39, 8502 Lannach
Termin vereinbaren



